A rare case of ST elevation, myocardial infarction secondary to 2,4 dimethyl amine poisoning
Received: 13-Mar-2024, Manuscript No. PULMTCR-24-6990; Editor assigned: 15-Mar-2024, Pre QC No. PULMTCR-24-6990 (PQ); Reviewed: 29-Mar-2024 QC No. PULMTCR-24-6990; Revised: 14-Jan-2025, Manuscript No. PULMTCR-24-6990 (R); Published: 21-Jan-2025
This open-access article is distributed under the terms of the Creative Commons Attribution Non-Commercial License (CC BY-NC) (http://creativecommons.org/licenses/by-nc/4.0/), which permits reuse, distribution and reproduction of the article, provided that the original work is properly cited and the reuse is restricted to noncommercial purposes. For commercial reuse, contact reprints@pulsus.com
Abstract
Background: 2,4 Dimethyl amine is a selective herbicide. It is widely used as weed killer.
Case report: We report case of ingestion of 2,4 dimethyl amine herbicide. The patient went to primary health center where they induced vomiting with salt water and referred KIMS, Hubballi for further management. He was treated with stomach wash and alkaline diuresis. 24 hours after hospital admission he developed multilobar pneumonia secondary to aspiration. On day 4 of admission he developed inferior wall myocardial infarction, he was thrombolysis with streptokinase and he improved symptomatically. Coronary angiogram showing normal coronaries and he was discharged.
Discussion: 2,4 dimethyl amine are most commonly used herbicide due to emerging resistance to commonly used herbicides like paraquat and glyphosate. The initial clinical features of poisoning similar to alcohol, sedative drugs or aromatic chlorinated hydrocarbons making it difficult to suspect these poison. It is important to identify the compound and initiate proper treatment. Correct diagnosis and early initiation of forced alkaline diuresis and save the life of the patient.
Conclusion: 2,4 dimethyl amine poisoning carries high mortality and morbidity. Initial anticipation of complications and early treatment can save the patient.
Keywords
2,4 dimethyl amine poisoning; Myocardial infarction; Herbicide; Mortality and morbidity
Introduction
2,4 dimethyl amine is more commonly used due to increasing resistance of super weeds to herbicides like glyphosate and paraquat [1]. This herbicide shows variety of dose dependent toxicity mechanisms, including cell membrane damage, uncoupling of oxidative phosphorylation and disruption of acetyl coenzyme a metabolism. Toxic effects of this poisoning affects nervous system, heart, lungs, liver, kidney, muscles and endocrine system. In many cases reported the results are fatal [2].
Case Presentation
A 32 year old male presented with alleged history of consumption of 2,4 dimethyl amine salt 58% SL about 300 ml at his residence, then 2 hours after consumption of poison he went to local primary health center where they gave salt water and induced vomiting and referred to Karnataka institute of medical sciences, Hubballi for further management.
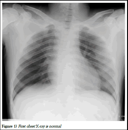
At presentation pulse rate 110 bpm, blood pressure 130/70 mmHg, SpO2 96% on room air, respiratory rate 18 cycles/minute, GRBS 150 mg/dl. General physical examination and systemic examination was normal. Admission chest X-ray was normal. ECG showed sinus tachycardia. Lab investigations sent for CBC, RFT, LFT, serum electrolytes and serology for HIV and hepatitis B was normal [3].
He was given stomach wash and contents were preserved and sent to forensic science laboratory. He was treated conservatively as there is no antidote for this poisoning and he was given alkaline diuresis giving 1 Meq/kg of sodium bicarbonate as IV bolus and then adding 80 Meq of sodium bicarbonate with 20 Meq of potassium in one liter of 5% dextrose saline and infusing it at rate to keep urinary pH-8.0 and to maintain urine output 6ml/minute. As few case reports showed timely administration of alkaline diuresis can be lifesaving.
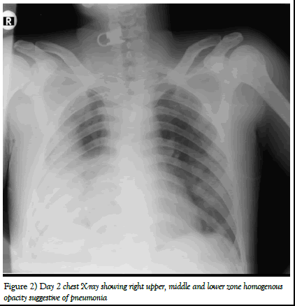
One day after admission he developed breathlessness and cough with expectoration. Later chest X-ray was done showing features of right upper, middle and lower lobe pneumonia [4].
He was given IV antibiotics and tablet oseltamivir and later he developed progressive breathlessness, saturation on room air was 62% and 92% on 10 L oxygen through non re-breathable mask. ABG was sent showing severe ARDS with type 1 respiratory failure. HRCT chest done showing bilateral lower lobe, middle lobe and right upper lobe pneumonia. He was put on NIV with ARDS protocol and he was maintaining saturation, work of breathing on NIV. RTPCR for COVID-19 and H1N1 was sent and which was negative.
On 4th day of hospital admission he developed back pain and sudden onset bradycardia and ECG was done showing ST elevation in lead 2,3 and aVF with reciprocal changes in lead 1, aVL and troponin I was raised. 2D ECHO showing regional wall motion abnormality- hypokinesia of mid inferior and posteriolateral wall with ejection fraction-60%. Cardiology opinion was taken and advised for thrombolysis and loading dose of tablet aspirin, clopidogrel and atorvastatin. He was thrombolysis with injection streptokinase. After thrombolysis serial ECG did showing reduction in ST elevation in inferior leads. He was put on injection low molecular weight heparin [5].
He had persistent symptomatic bradycardia and he was given injection isoprenaline infusion. Later he improved symptomatically and isoprenaline infusion was stopped after 24 hours of infusion. He was weaned from NIV and he was maintaining in room air [6].
He was discharged with oral antibiotics, antiplatelet and statins. One week later he was asked to review in cardiology department for coronary angiogram.
Coronary angiogram was done showing normal coronary arteries. Results from forensic science laboratory confirmed poisoning due to 2,4 dimethyl amine (Figures 1-4).
Figure 1) First chest X-ray is normal
Figure 2) Day 2 chest X-ray showing right upper, middle and lower zone homogenous opacity suggestive of pneumonia
Figure 3) HRCT chest showing right upper, middle, lower and left lower lobe consolidation
Figure 4) ECG Showing ST elevation in lead 2, 3 and aVF with reciprocal changes in lead 1 and aVL suggestive of inferior wall myocardial infarction
Discussion
In India herbicide poisoning is associated with high mortality and morbidity. Among different herbicidal poisoning the most common used are glyphosate and paraquate. Only few cases of 2,4 dimethyl amine poisoning are reported from India.
2,4 dimethyl amine is a plant herbicide. It was developed during 1940’s and it was first widely used herbicide to control broadleaf plants [7]. Due to increased use of genetically engineered plants causing increased resistance to glyphosate and paraquate resulted in widespread use of 2,4 dimethyl amine and it is difficult to develop resistance to 2,4 dimethyl amine.
These herbicides are easily available and in spite it widely used herbicide, this compound poisoning is commonly seen. Case reports and observational studies in most of the cases the outcome was fatal. This poison sometimes confused with poisoning due to anticholinesterase compound.
In humans exposures can occurs through inhalation, skin absorption, ingestion. Its toxic effects involves liver, kidney, heart, nervous system, muscles, lungs, endocrine system.
Clinical features of this poison include nausea, vomiting, pain abdomen, hypertonia, areflexia, central nervous system depression, fasciculation’s, coma and hypotension and ECG changes.
Acute effects on the central nervous system include unconsciousness, impaired coordination and coma. Peripheral nervous system includes muscle twitching, weakness and loss of deep tendon reflexes. 2,4 dimethyl amine causes neurotoxic effects like disruption of cell membrane transportation and alteration in blood brain barrier, therefore lethal doses may cause structural and functional damage to brain. In human observations patients who have exposed to 2,4 dimethyl amine showed degeneration of central nervous system, decreased nerve conduction, delayed muscle contraction, suicidal thoughts, depression, anxiety, aggression, post-traumatic stress disorder.
Main stay of treatment is to induce clearance of 2,4 dimethyl amine by urine alkalization with sodium bicarbonate and other conservative measures. These herbicides are weak acids and excreted in urine unchanged. Alkaline diuresis accelerates excretion of 2,4 dimethyl amine and to limit toxin concentration in kidney. Urine flow of 4-6 ml/minute is desirable [8].
Hypokalemia can occur during alkaline diuresis which can be corrected by giving 20-40 mEq of potassium supplement in 1 liter of IV fluids. Hemodialysis can be considered in severe poisoning where there contraindications to excess fluids or patient presenting with coma.
Alkalinizing the urine by sodium bicarbonate in IV fluids accelerates excretion of 2,4 dimethyl amine substantially because the weak acid is in an ionized state in the renal tubule and thus cannot diffuse from tubule into blood. Renal clearance is minimal at acidic pH of 5.1 (0.14 ml/min) compared to pH of 8.3 (63 ml/min).
Case reports of 2,4 dimethyl amine are rare and a total of 16 cases reported from India of which only 4 survived.
This is the first cases reported till now that 2,4 dimethyl amine poisoning causing ST elevation myocardial infarction. Early anticipation and prompt treatment will have better outcomes.
There is no specific antidote for 2,4 dimethyl amine poisoning. Routine resuscitation, close monitoring, supportive care and gastrointestinal decontamination and correction of electrolyte abnormalities and acidosis should be done in all cases. Alkaline diuresis can increase herbicide elimination thought there lack of randomized control trials of overall effect of urine alkalization.
Conclusion
2,4 dimethyl amine poisoning is rare, does not have antidote and has high mortality and morbidity. Initial emergency resuscitation, decontamination of gastrointestinal system and alkaline diuresis must be done. It is important to suspect herbicide poisoning as prompt diagnosis and treatment can save the life of the patient.
Conflict of Interest
None.
Funding and Support
None.
References
- Derkaoui IA, Malkki M, Attari A, et al. P50: Fatal poisoning by 2-4 dichlorophenoxyacetic acid: About two cases. Anal Clin Toxicol. 2014;26:50-1.
- Aundhakar SC, Mahajan SK, Mhaskar DM, et al. Hypotonia: A rare complication of 2,4-D amine poisoning. Indian J Forensic Med Toxicol. 2013;7:171-3.
- Nand N, Kumar H. A rare presentation of 2,4-dichlorphenoxyacetic acid (2,4-D poisoning). J Indian Academy Clin Med. 2013;14:171-2.
- Parveen D, Vasudev M. A rare case of 2,4 Dichlorophenoxyacetic acid (sodium salt) poisoning fatality. Indian J Forensic Med Toxicol. 2011;5:183-4.
- Bhalla A, Suri V, Sharma N, et al. 2,4-D (Ethyl ester) poisoning. Experience at a tertiary care center in Northern India. Emerg Med J. 2008;25:30-2.
[Crossref] [Google Scholar] [PubMed]
- Jearth V, Negi R, Chauhan V, et al. A rare survival after 2,4-(ethyl-ester) poisoning: Role of forced alkaline diuresis. Indian J Crit Care Med. 2015;19:57-8.
[Crossref] [Google Scholar] [PubMed]
- Bjorling-Poulsen M, Andersen HR, Grandjean P. Potential developmental neurotoxicity of pesticides used in Europe. Environ Health. 2008;7:50.
[Crossref] [Google Scholar] [PubMed]
- Singh S, Yadav S, Sharma N, et al. Fatal 2,4 D (ethyl ester) ingestion. J Assoc Physicians India. 2003;51:609-10.
[Google Scholar] [PubMed]





